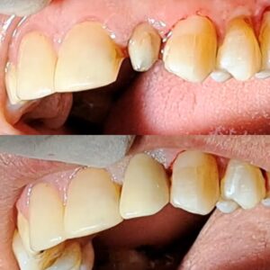
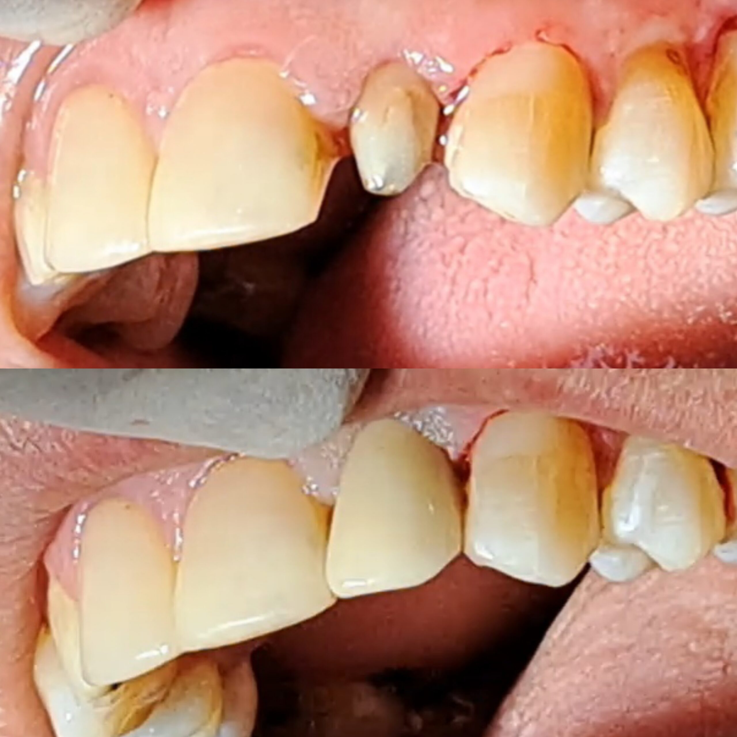
نمونه کارهای دندان پزشکی بزرگسال رایان
چرا دندان پزشکی رایان ؟
-دارای کادر مجرب از بهترین متخصصین و دندانپزشکها
-مجهز به لابراتوار دندانسازی درون مجموعه که این یکپارچگی از زمان قالب گیری تا ساخت موجب صرفه جویی در وقت شما و افزایش دقت در ساخت دندان میشود.
-مجهز به بخش اطفال با پیشرفته ترین دستگاه ها و متدهای سرگرمی کودکان
-دارای تکنولوژی های پیشرفته و دستگاه ها به روز نظیر اورال کمرا,دستگاه روتاری,اتوکلاو و….
-مسلط به انواع خدمات دندانپزشکی
نظیر درمان ریشه,ترمیمی,پروتز,زیبایی و…
-قیمت گذاری منصفانه و انتخاب روش مناسب درمان بر اساس نیاز واقعی شما (نه بر اساس حاشیه سود)
-دارای فضای آرام و دلنشین که استرس شما را در زمان درمان کاهش میدهد.
- خدمات پس از معالجه
- مشاوره درمانی با پزشک معالج
- مشاوره رایگان
ویژگی های دندان پزشکی رایان ؟
دارای لابراتوار تخصصی
دارای بخش اطفال جداگانه
امکان پرداخت قسطی در شرایط خاص
نمونه کارهای دندان پزشکی اطفال رایان

نکات مهم قبل از انجام لمینیت دندان | راهنمای کامل از معاینه تا انتخاب رنگ
نکات مهم قبل از انجام لمینیت دندان؛ هر چیزی که باید بدانید! لمینیت دندان یکی از پرطرفدارترین درمانهای زیبایی دندانپزشکی است که لبخند شما را در کوتاهترین زمان ممکن، درخشان و مرتب میکند. اما قبل از اینکه برای انجام لمینیت

ضرورت روکش بعد از عصبکشی؛ چرا بعضی دندونها بدون روکش شکستنی میشن؟
ضرورت روکش بعد از عصبکشی؛ چرا بعضی دندونها بدون روکش شکستنی میشن؟ حتماً برات پیش اومده که بعد از عصبکشی، وقتی دردت کاملاً برطرف میشه، با خودت بگی: «خب دیگه، دندونم درمان شد، دیگه لازم نیست کاری بکنم!» اما واقعیت

لمینیت بهتر است یا کامپوزیت؟|مزایا، معایب و بهترین انتخاب
فرق لمینیت و کامپوزیت؛ کدوم انتخاب بهتریه؟ وقتی صحبت از زیبایی لبخند میشه، دو تا درمان بیشتر از همه سر زبونهاست: لمینیت دندان و کامپوزیت دندان. تقریبا همه کسایی که دنبال طراحی لبخند هستن اول از همه این سوال رو

نکات مهم قبل از انجام لمینیت دندان | راهنمای کامل از معاینه تا انتخاب رنگ
نکات مهم قبل از انجام لمینیت دندان؛ هر چیزی که باید بدانید! لمینیت دندان یکی از پرطرفدارترین درمانهای زیبایی دندانپزشکی است که لبخند شما را در کوتاهترین زمان ممکن، درخشان و مرتب میکند. اما قبل از اینکه برای انجام لمینیت

ضرورت روکش بعد از عصبکشی؛ چرا بعضی دندونها بدون روکش شکستنی میشن؟
ضرورت روکش بعد از عصبکشی؛ چرا بعضی دندونها بدون روکش شکستنی میشن؟ حتماً برات پیش اومده که بعد از عصبکشی، وقتی دردت کاملاً برطرف میشه، با خودت بگی: «خب دیگه، دندونم درمان شد، دیگه لازم نیست کاری بکنم!» اما واقعیت

لمینیت بهتر است یا کامپوزیت؟|مزایا، معایب و بهترین انتخاب
فرق لمینیت و کامپوزیت؛ کدوم انتخاب بهتریه؟ وقتی صحبت از زیبایی لبخند میشه، دو تا درمان بیشتر از همه سر زبونهاست: لمینیت دندان و کامپوزیت دندان. تقریبا همه کسایی که دنبال طراحی لبخند هستن اول از همه این سوال رو

نکات مهم قبل از انجام لمینیت دندان | راهنمای کامل از معاینه تا انتخاب رنگ
نکات مهم قبل از انجام لمینیت دندان؛ هر چیزی که باید بدانید! لمینیت دندان یکی از پرطرفدارترین درمانهای زیبایی دندانپزشکی است که لبخند شما را در کوتاهترین زمان ممکن، درخشان و مرتب میکند. اما قبل از اینکه برای انجام لمینیت

ضرورت روکش بعد از عصبکشی؛ چرا بعضی دندونها بدون روکش شکستنی میشن؟
ضرورت روکش بعد از عصبکشی؛ چرا بعضی دندونها بدون روکش شکستنی میشن؟ حتماً برات پیش اومده که بعد از عصبکشی، وقتی دردت کاملاً برطرف میشه، با خودت بگی: «خب دیگه، دندونم درمان شد، دیگه لازم نیست کاری بکنم!» اما واقعیت

لمینیت بهتر است یا کامپوزیت؟|مزایا، معایب و بهترین انتخاب
فرق لمینیت و کامپوزیت؛ کدوم انتخاب بهتریه؟ وقتی صحبت از زیبایی لبخند میشه، دو تا درمان بیشتر از همه سر زبونهاست: لمینیت دندان و کامپوزیت دندان. تقریبا همه کسایی که دنبال طراحی لبخند هستن اول از همه این سوال رو

نکات مهم قبل از انجام لمینیت دندان | راهنمای کامل از معاینه تا انتخاب رنگ
نکات مهم قبل از انجام لمینیت دندان؛ هر چیزی که باید بدانید! لمینیت دندان یکی از پرطرفدارترین درمانهای زیبایی دندانپزشکی است که لبخند شما را در کوتاهترین زمان ممکن، درخشان و مرتب میکند. اما قبل از اینکه برای انجام لمینیت

ضرورت روکش بعد از عصبکشی؛ چرا بعضی دندونها بدون روکش شکستنی میشن؟
ضرورت روکش بعد از عصبکشی؛ چرا بعضی دندونها بدون روکش شکستنی میشن؟ حتماً برات پیش اومده که بعد از عصبکشی، وقتی دردت کاملاً برطرف میشه، با خودت بگی: «خب دیگه، دندونم درمان شد، دیگه لازم نیست کاری بکنم!» اما واقعیت

لمینیت بهتر است یا کامپوزیت؟|مزایا، معایب و بهترین انتخاب
فرق لمینیت و کامپوزیت؛ کدوم انتخاب بهتریه؟ وقتی صحبت از زیبایی لبخند میشه، دو تا درمان بیشتر از همه سر زبونهاست: لمینیت دندان و کامپوزیت دندان. تقریبا همه کسایی که دنبال طراحی لبخند هستن اول از همه این سوال رو